-
牛用B超机在牛场中使用的优势
2022-06-30 454
与传统的人工检查相比,使用牛用B超机对母牛进行妊娠检查提供了许多直接影响生产力和盈利能力的优势。牛用B超为用户提供的智能非常有利于操作,特别是牛用B超机:①确认母牛怀孕和胎儿存活率的最准确工具。②唯一可以确认母牛胎儿性别和胎龄的工具。③允许更早···
查看详情
-
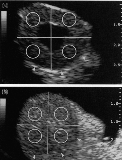
用B超机检测牛黄体的超声图像
2022-06-30 391
上图中具有中心腔 (a) 或无腔 (b) 的牛黄体的图像分析技术。黄体与间质由箭头划分。每个黄体的图像被分成四个相等的象限。通过放置一个覆盖每个象限大约 20% 的测量点(圆圈)来测量像素值。像素值是落在测量点下的所有像素的灰度值的平均值。超声图像上的刻度···
查看详情
-
兽用B超机的日常维护保养
2022-06-10 387
兽用B超超声波诊断由于其成像快、诊断及时、属于非损伤性诊断,深受养殖业亲睐。兽用B超现今已成为养殖业必不可少的设备之一。兽用B超行业飞速发展,它的使用率高低直接影响的诊断效果,从而影响养殖场的经济效益。为保证兽用B超的正常运转,延长其使用寿命,···
查看详情
-
牛用B超的实际应用和使用方法及注意事项
2022-06-10 497
超声的实际应用包括妊娠状态的早期评估、怀双胎的母牛的识别、卵巢和子宫病变的检测以及胎儿性别的确定。这些应用中的每一个都为提高牛场的母牛繁殖效率提供了测试结果的准确性。但是,大多数兽医学生被教导超声波是牛繁殖工作的辅助技术。然而,超声成像的信···
查看详情
-
牛用B超机在母牛繁育过程中的作用
2022-04-18 396
在母牛繁育过程中,妊娠检查是至关重要的。牛用B超诊断仪已逐渐成为养殖场的标配,影响着养牛人或者养牛企业的直接利益,也方便日常管理。B超诊断仪操作简单易学,把B超探头通过母牛直肠,放置在牛子宫上方,就可以在B超诊断仪屏幕上呈现子宫和卵巢的情况。一···
查看详情
-
羊B超机使用方法
2022-03-02 579
羊场的经济效益与羊的繁殖特点直接相关,兽用超声在母畜妊娠诊断方面发挥着十分重要的作用。通过超声检查,可以确定母羊的妊娠情况。现阶段,对于母羊妊娠的检查方法,比较常用是使用兽用B超机(羊用B超机)。 兽用B超机通常被用于动物的怀孕诊断、疾病诊断、···
查看详情
-
猪场管理如何从源头做好“生物安全”
2021-11-22 569
猪场管理如何从源头上做好“生物安全”猪只与其生活的环境之间不仅存在物质和能量的交换,同时也存在微生物的交换,猪自身携带的微生物能够影响环境,环境中存在的微生物也不断影响猪群。猪与数量众多的微生物菌群处于一种动态的平衡状态,猪群在生活过程中不···
查看详情
-
B超给养殖户带来的好处
2021-11-15 363
目前各类养殖场都提倡科学养殖技术,来提升养殖场的经济利润,所以养殖场开始使用各类医用的检查仪器对于养殖的品种进行身体检查,例如兽用B超的使用,在猪、牛、羊、马等养殖场应用非常的广泛,带来了很多的好处,下面让我们简单的了解养猪场使用兽用B超的好···
查看详情
-
怎样注意猪的市场形式
2021-11-08 384
最近猪价不好,所以养猪技巧类的内容就少了些;总之猪不发病损失才会小,哪怕提前卖小点的都可以,生病了病猪就更不值钱了,更不用说治疗的药物等也都得花钱;最近天气变化,慢慢疾病就会变多我们还是应该多注意下;首先今年雨水是比较多的,集中在一些地方;···
查看详情
-
兽用B超的普及是至关重要的
2021-09-03 590
兽用B超应用多样,但目前尚未在我国推广应用,其重要原因是人们对新技术应用的认识上的差距。许多人不了解B超可以在畜牧兽医事业中的应用,更认识不到B超应用的价值。此外,传统的习惯势力也是B超应用的阻力。随着动物繁殖和动物疾病诊治的任务越来越大,要求···
查看详情